Житель Актау шокировал врачей инородными предметами в желудке
Извлекать инородные предметы из пищевода пациента пришлось эндоскопистам Мангистауской областной больницы, сообщает Sputnik.
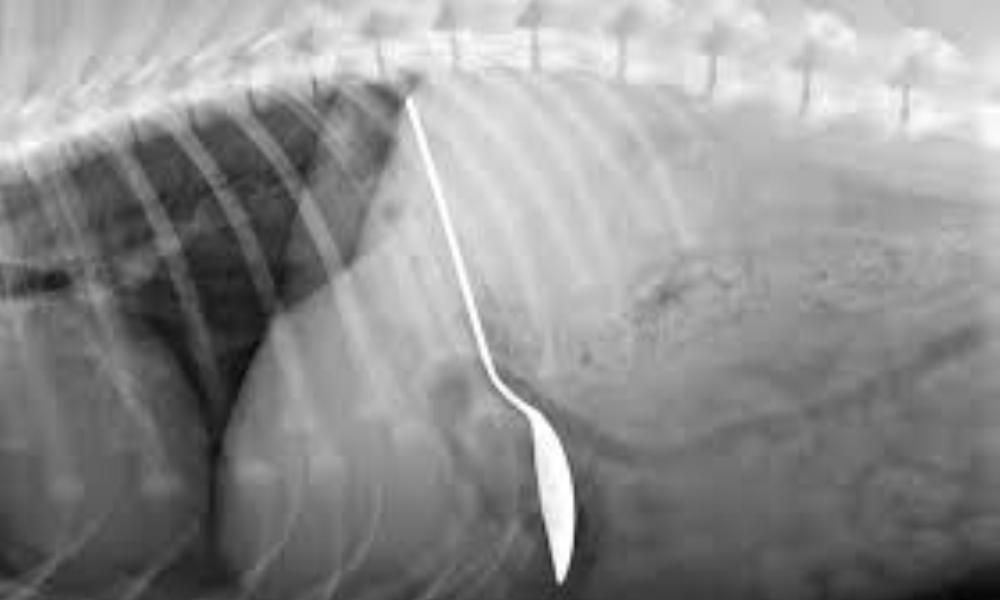
29-летний житель Актау обратился к врачам с жалобами на боль в желудке. Специалисты с помощью рентгенографии брюшной полости нашли у него инородные тела размерами 18, 16 и 15 сантиметров. Оказалось, что в его желудке - куски арматуры длиной 5-6 см и ручка от алюминиевой ложки, пишет InAktau.
Медики провели малоинвазивную эндоскопическую операцию.
С помощью видеоэзофагогастродуоденоскопии инородные тела извлекли из организма. Это были куски арматуры разной длины, а также ручка от алюминиевой ложки. Операция длилась полчаса и прошла успешно, - рассказал врач-эндоскопист Бауыржан Танауов.
После стабилизации состояния пациента выписали на амбулаторное лечение.
Читайте также
Врачи извлекли 55 батареек из желудка женщиныВпервые среди регионов Казахстана в ВК областной больнице заменили аортальный клапан через прокол в сердцеАнгиохирурги ВКО провели сложную операцию и спасли пациенту почкуВрачи Усть-Каменогорска успешно провели сложную операцию по зашиванию язвыЖитель ВКО чуть не умер из-за больного зуба